AP Elbow X-Ray: What You Need To Know

A.Manycontent 57 views
AP Elbow X-Ray: What You Need To Know

AP Elbow X-Ray: Unveiling the Insights

Hey everyone! Ever wondered what goes on during an elbow X-ray , specifically the AP view? Well, you’re in the right place! In this article, we’ll dive deep into the world of AP elbow X-rays, breaking down everything from what it is, why it’s used, how it’s done, and what those images actually reveal. So, grab a seat, get comfy, and let’s unravel the mysteries of the AP elbow X-ray together! This exploration is designed to be super friendly and informative, perfect for anyone curious about this common diagnostic tool. We’ll steer clear of overly technical jargon and focus on making it easy to understand. So, whether you’re a medical student, a patient who’s had an X-ray, or just a curious individual, get ready to become an AP elbow X-ray pro! Let’s get started.

What is an AP Elbow X-Ray?

First things first: what is an AP elbow X-ray? AP stands for anteroposterior , which refers to the direction of the X-ray beam. In an AP view, the X-ray beam passes through the front (anterior) of your elbow and exits through the back (posterior). Think of it like shining a flashlight through your elbow from the front. The image captured shows a two-dimensional representation of the bones and soft tissues within your elbow. This view is one of the standard ways doctors visualize the elbow joint, helping them diagnose a wide range of conditions. It’s a non-invasive procedure, meaning it doesn’t involve any incisions or injections, and it’s generally quick and painless. Usually, an AP view is combined with other views, such as a lateral view, to get a comprehensive picture of the elbow. The AP view is particularly useful for visualizing the alignment of bones, detecting fractures, and assessing the overall structure of the elbow joint. It’s a crucial tool in the hands of radiologists and orthopedic specialists. The AP elbow X-ray gives an overview of the elbow joint, so the professionals can make better diagnoses.

Why are AP Elbow X-Rays Performed?

So, why would a doctor order an AP elbow X-ray in the first place? Well, there are several reasons! The main purpose is to help diagnose a variety of elbow-related problems. Here are some of the most common reasons:

  • Suspected Fractures : If you’ve experienced a fall, a direct blow to the elbow, or any other type of trauma, your doctor might suspect a fracture. The AP view is excellent at visualizing bone alignment and identifying breaks.
  • Arthritis : The AP view can help assess the degree of joint space narrowing, bone spurs, and other changes associated with arthritis.
  • Dislocations : If your elbow has been dislocated, the AP view can help confirm the dislocation and assess the extent of any associated damage.
  • Infections : Although less common, an AP X-ray can sometimes reveal signs of infection within the bone or joint.
  • Tumors : While not the primary imaging modality for tumors, an AP X-ray can sometimes reveal suspicious bone lesions that warrant further investigation.
  • Monitoring : After a fracture or surgery, AP X-rays are often used to monitor the healing process and ensure proper alignment of the bones.
  • Pain and Swelling : If you have persistent elbow pain, swelling, or limited range of motion, your doctor may order an AP X-ray to look for any underlying causes.

Basically, the AP elbow X-ray is a workhorse in the world of diagnostic imaging. It’s a quick, readily available, and effective way to get a clear picture of what’s going on inside your elbow. That is very important to get a good medical diagnosis.

How is an AP Elbow X-Ray Done?

Alright, so how does the whole process actually work? Don’t worry, it’s pretty straightforward. Here’s what you can expect:

  1. Preparation : You won’t need to do much to prepare. Just remove any jewelry or clothing that might interfere with the X-ray. The technician will likely ask you to remove your shirt if it has any metal buttons or zippers near the elbow.
  2. Positioning : You’ll typically be asked to sit or stand in front of the X-ray machine. The technician will position your arm so that your elbow is extended, and your palm is facing up (supinated). They’ll make sure your elbow joint is centered within the X-ray beam.
  3. The X-Ray : The technician will step behind a protective shield and take the X-ray. You’ll need to stay very still for a few seconds while the image is being taken. You might hear a clicking sound, but that’s perfectly normal.
  4. Image Acquisition : The X-ray machine sends a beam of radiation through your elbow, and the image is captured on a special detector. The image appears on a computer screen.
  5. Review and Reporting : The radiologist (a doctor specializing in interpreting medical images) will carefully review the images and write a report. This report will be sent to your doctor, who will then discuss the findings with you.

The entire process usually takes just a few minutes, making it a quick and easy procedure. The key is to stay still, which helps ensure a clear and accurate image. During the process, the professionals will ask you to follow some specific steps.

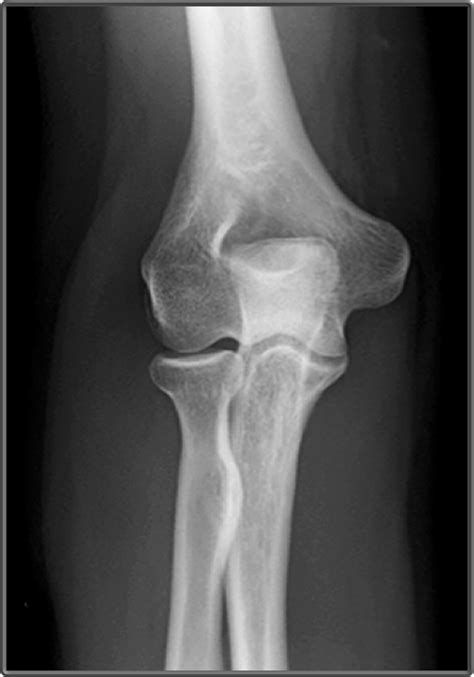
What Do the Images Show? Interpreting the AP View

Now, let’s get to the juicy part: what do the images actually reveal? The AP view shows a two-dimensional picture of your elbow. Here’s what you can see and what doctors look for:

  • Bones : The AP view clearly shows the bones of the elbow joint: the humerus (upper arm bone), the radius and ulna (forearm bones). Doctors examine these bones for fractures, dislocations, or any other abnormalities.
  • Joint Space : The space between the bones in the joint (the joint space) is visible. Narrowing of this space can indicate arthritis.
  • Alignment : The AP view allows doctors to assess the alignment of the bones. Proper alignment is essential for normal elbow function.
  • Soft Tissues : Although not as detailed as other imaging methods like MRI, the AP view can sometimes show soft tissue changes, such as swelling or the presence of foreign objects.
  • Fractures : The most obvious thing to look for is fractures, which appear as breaks or cracks in the bones. The radiologist will carefully examine the bones for any signs of these fractures.
  • Bone Spurs : Doctors can see the bone spurs that can develop due to arthritis or other conditions.

Interpreting an AP elbow X-ray requires expertise. Radiologists are trained to identify subtle changes and abnormalities that might not be obvious to the untrained eye. They will use their knowledge and experience to provide a detailed report to your doctor, which will then guide your treatment. If you have any medical condition, the AP view will help the doctors to get a better diagnosis.

Risks and Safety Considerations of Elbow X-Rays

Let’s talk about safety, because it’s super important. X-rays use a small amount of ionizing radiation. While the radiation dose from an AP elbow X-ray is relatively low, there are a few things to keep in mind:

  • Radiation Exposure : The risk of harm from a single X-ray is very low. The benefits of getting an accurate diagnosis usually outweigh the risks. However, repeated X-rays can slightly increase your overall exposure to radiation.
  • Pregnancy : If you are pregnant or think you might be pregnant, it’s crucial to inform your doctor and the X-ray technician. They may take extra precautions to protect the developing fetus, such as using a lead apron. In some cases, alternative imaging methods, like ultrasound, might be considered.
  • Children : Children are more sensitive to radiation than adults. If your child needs an X-ray, the technician will use the lowest possible radiation dose to get a clear image.
  • Benefits vs. Risks : Medical professionals always weigh the benefits of an X-ray against the potential risks. They only order X-rays when necessary to help diagnose or monitor a condition.

The goal is always to provide the best possible care while minimizing any potential risks. X-rays are a vital diagnostic tool, and they are used responsibly and safely in most medical settings.

The Takeaway: AP Elbow X-Rays Explained

So, there you have it, guys! We’ve covered the basics of AP elbow X-rays. From understanding what it is, why it’s performed, how it’s done, and what the images reveal, you should now have a much better understanding of this common imaging technique.

Here’s a quick recap:

  • An AP elbow X-ray is a simple, non-invasive procedure that provides valuable information about your elbow joint.
  • It’s used to diagnose a variety of conditions, including fractures, arthritis, and dislocations.
  • The images show the bones, joint space, and soft tissues of your elbow.
  • While there are some risks associated with radiation exposure, the benefits of an accurate diagnosis usually outweigh these risks.

Hopefully, this article has cleared up any confusion or anxiety you might have had about AP elbow X-rays. Remember, if your doctor orders an X-ray, it’s because they believe it’s the best way to get the information they need to provide you with the best possible care. If you have any further questions or concerns, don’t hesitate to ask your doctor or the X-ray technician. They are always there to help and provide clarification. Stay healthy, and take care of your elbows! This is important to ensure your health conditions.