Cyst Vs. Pseudocyst: Histology Explained

A.Manycontent 138 views
Cyst Vs. Pseudocyst: Histology Explained

Cyst vs. Pseudocyst: Histology Explained

Hey there, aspiring medical minds and curious folks! Today, we’re diving deep into a topic that often pops up in pathology and histology discussions: the difference between a cyst and a pseudocyst . You might be thinking, “Aren’t they kind of the same thing?” Well, guys, the devil is in the details, and when we’re talking about histology, those details can be super important for diagnosis and understanding disease processes. So, grab your virtual microscopes, and let’s break down the histology of cysts versus pseudocysts in a way that’s easy to digest and totally memorable. We’re going to cover what makes them tick, what they look like under the microscope, and why knowing the difference matters. Let’s get this histology party started!

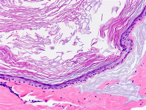
Understanding True Cysts: The Epithelial Lining

Alright, let’s kick things off with true cysts . When we talk about histology, the key feature that defines a true cyst is its epithelial lining . Think of it like a little sac that’s fully enclosed by a layer of specialized cells – the epithelium. This lining is crucial because it’s actively producing and secreting the contents found within the cyst. These contents can vary wildly, from fluid and semi-fluid material to keratin or even mucus, depending on the type of epithelium and its origin. For instance, a sebaceous cyst on your skin has a lining of epidermal cells that produce sebum (the oily stuff), while an ovarian cyst might have a lining that secretes follicular fluid. The presence of this intact epithelial layer is the hallmark of a true cyst, distinguishing it from other types of cystic lesions. This lining acts as a barrier, separating the cyst’s contents from the surrounding tissue, and it often has a distinct histological appearance. You’ll see a well-defined layer of cells, which can be squamous, cuboidal, columnar, or even transitional, depending on the location and the developmental origin of the cyst. The cells themselves can appear normal or show varying degrees of dysplasia or even malignancy, which is why a thorough histological examination is so vital. The wall of a true cyst is typically composed of two layers: the inner epithelial lining and an outer layer of connective tissue, which provides structural support and houses blood vessels and nerves. This well-organized structure is a significant clue for pathologists when identifying a lesion as a true cyst. Understanding the different types of epithelium that can form these linings is fundamental. For example, Branchial cleft cysts are lined by stratified squamous or pseudostratified columnar epithelium, while thyroglossal duct cysts are typically lined by respiratory or stratified squamous epithelium. The histological appearance of the epithelium can sometimes offer clues to the cyst’s origin, aiding in differential diagnosis. Furthermore, the process of cyst formation itself is often related to duct obstruction, abnormal development, or degeneration. Regardless of the cause, the end result in a true cyst is the formation of a space lined by epithelium, which is the defining characteristic we look for under the microscope. So, when you see that neat, organized epithelial layer, you’re likely looking at a true cyst, guys!

The Nature of Pseudocysts: A Fibrous Wall

Now, let’s switch gears and talk about pseudocysts . The prefix “pseudo” means “false,” and that’s exactly what a pseudocyst is – a false cyst. Unlike true cysts, pseudocysts lack an epithelial lining. Instead, their walls are formed by surrounding tissues that have become organized and fibrotic, often in response to inflammation or injury. Think of it as the body’s way of walling off an area of fluid collection. A classic example is a pancreatic pseudocyst, which often arises after pancreatitis. The inflamed pancreatic tissue reacts by forming a fibrous capsule around the accumulated fluid (like pancreatic juices). So, when you’re looking at the histology of a pseudocyst, you won’t find that neat, organized epithelial layer you’d see in a true cyst. Instead, you’ll see a wall composed of granulation tissue and dense fibrous connective tissue. This wall might be irregular and may even contain inflammatory cells, remnants of necrotic tissue, or foreign material. The contents of a pseudocyst are also variable but typically consist of inflammatory exudate, necrotic debris, or other pathological fluids. Because there’s no epithelial lining to secrete specific substances, the composition of the fluid is more a reflection of the inciting event and the surrounding tissues. For instance, in a pancreatic pseudocyst, the fluid will be rich in pancreatic enzymes. The lack of an epithelial lining means that pseudocysts are generally not self-limiting in the same way true cysts might be, and they can potentially grow larger or rupture if the underlying cause isn’t addressed. Histologically, the wall is the key differentiator. You’ll see collagen fibers, fibroblasts, and potentially a mixed inflammatory infiltrate, including neutrophils, lymphocytes, and macrophages. Sometimes, you might even see multinucleated giant cells trying to resorb the material within the pseudocyst. It’s a more chaotic, reactive process compared to the organized, cellular structure of a true cyst’s wall. This distinction is critical because it impacts management. A true cyst might be monitored or surgically removed, while a pseudocyst often requires drainage or treatment of the underlying cause to prevent complications. So, remember: no epithelial lining means it’s a pseudocyst, guys!

Key Histological Differences: A Microscopic Showdown

Let’s get down to the nitty-gritty and really hammer home the histological differences. When you’re peering through that microscope, what are the absolute deal-breakers that tell you “cyst” versus “pseudocyst”? The presence or absence of an epithelial lining is the undisputed champion here. For a true cyst , you must see a distinct layer of epithelial cells lining the lumen. The type of epithelium can vary – stratified squamous, simple cuboidal, columnar, pseudostratified – but it needs to be there, forming a continuous barrier. This lining is often smooth and well-defined. The underlying wall is typically composed of fibrous connective tissue, but the epithelium is the star of the show. Now, for a pseudocyst , you’re looking for the absence of that epithelial lining. Instead, the wall is formed by fibrous connective tissue and granulation tissue . This wall is often more irregular, thicker, and may show signs of active inflammation, including inflammatory cells like neutrophils, lymphocytes, and macrophages. You might also see areas of necrosis or hemorrhage within the wall. The contents of a pseudocyst are typically inflammatory fluid, breakdown products, or debris, reflecting the cause of the lesion. Think of it this way: a true cyst is like a well-built house with brick walls (epithelium) enclosing a room. A pseudocyst is more like a tent that’s popped up in response to a storm, with makeshift fabric walls (fibrous tissue) holding back the wind and rain (fluid). The histological appearance of the wall is also a giveaway. In true cysts, the fibrous layer might be relatively quiescent. In pseudocysts, the fibrous wall is often actively involved in healing or containing an inflammatory process, so you’ll see more cellularity and vascularity, indicative of a reactive process. Another subtle point: the contents. While both can contain fluid, the origin of that fluid often differs. True cysts secrete their contents via their epithelial lining. Pseudocysts typically contain fluid that has leaked from damaged tissues or is an inflammatory exudate. So, when you’re faced with a cystic lesion under the microscope, your first question should be: “Where’s the epithelium?” If it’s there, it’s a true cyst. If it’s absent and you see a reactive fibrous wall, it’s a pseudocyst. This distinction is fundamental for accurate diagnosis and guiding patient management, guys!

Clinical Significance: Why Does It Matter?

Okay, so we’ve dissected the histology, but why is this whole cyst versus pseudocyst thing so important in the real world, you ask? Well, guys, the distinction has significant clinical implications . Firstly, it affects diagnosis and differential diagnosis. Recognizing the histological features helps pathologists pinpoint the nature of the lesion. For example, certain types of true cysts are benign and may require simple observation, while others, like some developmental cysts or those associated with specific syndromes, might need more specific management or surveillance. Pseudocysts, on the other hand, are often symptomatic and indicate an underlying pathological process that needs addressing. Pancreatic pseudocysts, as mentioned, are a direct consequence of pancreatitis and can lead to serious complications like infection, hemorrhage, or rupture if not managed. Their management often involves draining the fluid collection and treating the underlying pancreatic inflammation. Secondly, the management strategy can differ significantly. For a simple epidermal inclusion cyst (a true cyst), surgical excision is usually curative. For a thyroglossal duct cyst, the surgery involves removing part of the hyoid bone to prevent recurrence. However, a pseudocyst, especially a large one or one causing symptoms, might require drainage (percutaneous or endoscopic) in addition to treating the root cause. If it’s a post-surgical pseudocyst, for instance, the focus would be on managing the surgical complication. Thirdly, the prognosis can vary. While many true cysts are benign, some can undergo malignant transformation or be associated with malignant conditions. Pseudocysts, by their nature, are signs of active disease or significant tissue injury, and their prognosis is often tied to the underlying condition. Are they resolving? Are they growing? Are they becoming infected? These are critical questions that the histological diagnosis helps answer. So, understanding whether you’re dealing with a true epithelial-lined cyst or a reactive pseudocyst isn’t just an academic exercise; it directly influences how a patient is diagnosed, treated, and monitored. It’s all about getting the right information to the clinicians so they can provide the best care. Pretty crucial stuff, right?

Examples in Pathology: Putting Theory into Practice

Let’s bring this all home with some real-world examples you’ll encounter in pathology. When we talk about true cysts , think of things like epidermal inclusion cysts (those common little bumps under the skin). Histologically, you’ll see a stratified squamous epithelial lining, often with a keratin layer (like flaky bits) filling the lumen. Then there are thyroid follicular cysts , lined by cuboidal or flattened follicular cells, containing colloid. Serous cystadenomas of the ovary are another classic example, lined by simple cuboidal or columnar epithelium. These are all well-defined sacs with that characteristic epithelial wall. Now, for pseudocysts , the poster child is the pancreatic pseudocyst . As we’ve discussed, it lacks an epithelial lining and is surrounded by a wall of granulation tissue and fibrous bands, often with inflammatory cells and pancreatic enzymes in the lumen. Another example could be a post-surgical seroma that organizes and develops a fibrous wall – it’s a collection of fluid but not lined by epithelium. You might also see abscesses that, as they heal and resolve, can develop a fibrotic capsule, essentially becoming a type of pseudocyst containing pus (necrotic debris and inflammatory cells). In trauma, a hematoma that organizes can also form a fibrotic wall, creating a pseudocystic cavity filled with old blood. The key is always to look for that epithelial layer. If you have a cyst-like structure, and you meticulously examine the wall and find no epithelial cells, but instead see dense fibrous tissue, inflammation, or granulation tissue, you’re strongly leaning towards a pseudocyst. Pathologists use special stains sometimes to highlight components of the wall or its contents, but the fundamental identification relies on recognizing the presence or absence of that epithelial lining. So, applying these principles to actual cases helps solidify your understanding. It’s like being a detective, searching for that crucial piece of evidence – the epithelium!

Conclusion: The Epithelial Clue

So, there you have it, folks! We’ve journeyed through the histological landscapes of cysts and pseudocysts. The main takeaway, the absolute golden ticket, is the epithelial lining . A true cyst boasts this lining, acting as a distinct barrier and often secreting its contents. A pseudocyst , on the other hand, is a “false” cyst, lacking an epithelial lining and instead being encased by a wall of fibrous or granulation tissue, typically a response to inflammation or injury. This histological difference isn’t just academic; it’s vital for accurate diagnosis, guiding treatment decisions, and understanding patient outcomes. Keep that epithelial clue in mind, and you’ll be well on your way to confidently distinguishing between these two entities. Keep studying, keep questioning, and happy microcopying, everyone!