ICD-10 K05.00: Understanding Acute Gingivitis

A.Manycontent 143 views
ICD-10 K05.00: Understanding Acute Gingivitis

ICD-10 K05.00: Understanding Acute Gingivitis

Hey guys! Today, we’re diving deep into a topic that might sound a bit technical but is super important for understanding dental health coding: ICD-10 code K05.00 . This code specifically refers to acute gingivitis , and knowing what it means can be a game-changer for healthcare providers, patients, and anyone involved in medical billing and coding. We’re going to break down what acute gingivitis is, why this specific ICD-10 code is used, and what it all signifies in the grand scheme of things. So, buckle up, and let’s get this dental health discussion rolling!

What Exactly is Acute Gingivitis?

Alright, let’s start with the basics, folks. Acute gingivitis is a sudden, short-term inflammation of your gums. Think of it as your gums throwing a little tantrum – they get red, swollen, and might even bleed a bit when you brush or floss. It’s usually caused by a buildup of plaque, which is basically a sticky film of bacteria that loves to hang out on your teeth. When this plaque isn’t removed properly, those nasty bacteria release toxins that irritate your gums, leading to that inflamed state we call gingivitis. It’s important to distinguish this from chronic gingivitis, which is a more long-term, persistent inflammation. Acute gingivitis often comes on pretty quickly and can be quite uncomfortable if left untreated. Symptoms can include

  • Redness : Your gums might look unusually bright red instead of their usual healthy pink.
  • Swelling : They can appear puffy and enlarged.
  • Bleeding : This is a big one. Gums that bleed easily during brushing or flossing are a classic sign.
  • Tenderness : Your gums might feel sore to the touch.
  • Bad breath : Sometimes, the bacterial overgrowth can lead to halitosis.

Now, while gingivitis is generally considered a mild form of gum disease, it’s the gateway to more serious problems if you don’t pay attention. Untreated gingivitis can progress to periodontitis, a much more severe infection that damages the soft tissue and bone that support your teeth. This can lead to tooth loss, so it’s definitely not something to brush off, pun intended! The ‘acute’ part of acute gingivitis means it’s a rapid onset, often triggered by something specific like a change in oral hygiene, stress, or even certain systemic conditions. It’s usually reversible with prompt and proper treatment. So, when a doctor or dentist diagnoses this condition, they need a way to accurately document it for medical records, insurance purposes, and research. That’s where our friend, the ICD-10 code, comes in.

Decoding the ICD-10 Code K05.00

Now, let’s get nerdy with the ICD-10 code K05.00 . ICD-10 stands for the International Classification of Diseases, Tenth Revision. It’s a standardized system used worldwide to classify diseases, signs and symptoms, abnormal findings, complaints, social circumstances, and external causes of injury or diseases. Think of it as a universal language for medical conditions. Each code is super specific, allowing healthcare professionals to pinpoint exactly what’s going on with a patient. The ICD-10 code K05.00 breaks down like this:

  • K : This chapter of the ICD-10 system covers ‘Diseases of the digestive system’. Since oral health is intrinsically linked to the digestive system, codes related to the mouth, teeth, and gums fall under this category.
  • K05 : This section specifically deals with ‘Gingivitis and periodontitis’. This narrows it down to inflammation of the gums and supporting structures of the teeth.
  • K05.0 : This subcategory refers to ‘Acute gingivitis’. This tells us it’s a sudden, short-term inflammation, as we discussed earlier.
  • K05.00 : The final ‘0’ here is a placeholder, indicating that no further specification is required or provided for this particular encounter. It’s the most general code for acute gingivitis when no specific underlying cause or complication is documented at that time.

So, when you see ICD-10 code K05.00 , you immediately know the patient is being diagnosed with acute gingivitis, and there aren’t any further details noted about its specific cause or severity beyond it being acute. This is crucial for accurate record-keeping, billing, and statistical analysis. It helps ensure that the correct treatments are documented and that healthcare systems can track the prevalence of various conditions. It’s also vital for insurance companies to process claims correctly. Without these specific codes, medical information would be a jumbled mess, making it impossible to manage patient care effectively or study public health trends. This level of detail is what makes the ICD-10 system so powerful and essential in modern healthcare.

Why Accurate Coding Matters

Guys, you might be thinking, “Why all the fuss about a code?” Well, let me tell you, accurate medical coding , like using the correct ICD-10 code K05.00 for acute gingivitis, is absolutely critical for a multitude of reasons. It’s not just about paperwork; it’s about ensuring proper patient care, fair reimbursement, and valuable data collection. Let’s break down why this is so important:

First and foremost, accurate coding ensures proper patient care . When a healthcare provider documents a diagnosis using the correct ICD-10 code, it provides a clear and concise summary of the patient’s condition. This information is vital for any other healthcare professional who might see the patient later. It helps them understand the patient’s history, potential risks, and the appropriate course of treatment. For acute gingivitis, knowing the specific diagnosis allows for targeted treatment plans, whether it’s professional cleaning, improved oral hygiene instructions, or addressing any underlying contributing factors. Without precise coding, patient records can become ambiguous, potentially leading to misdiagnosis or delayed treatment. It’s the foundation upon which effective medical decision-making is built.

Secondly, accurate coding is essential for billing and reimbursement . Insurance companies and government payers rely heavily on ICD-10 codes to determine if a procedure or treatment is medically necessary and to process claims. If the wrong code is used, a claim could be denied, leading to financial burdens for the patient or the healthcare provider. Using ICD-10 code K05.00 correctly signifies that the patient has a specific, diagnosable condition that warrants the medical services provided. This ensures that healthcare providers are fairly compensated for their work and that patients aren’t billed for services that should be covered by their insurance. This financial aspect is a huge part of keeping healthcare systems running smoothly.

Thirdly, accurate coding contributes to public health research and statistics . By standardizing the way diseases are reported, ICD-10 codes allow researchers and public health officials to track the prevalence and incidence of various conditions on local, national, and global levels. For instance, tracking the use of ICD-10 code K05.00 can help identify trends in acute gingivitis, perhaps correlating it with certain demographics, geographic locations, or even seasonal changes. This data is invaluable for understanding disease patterns, allocating resources effectively, developing public health campaigns, and evaluating the impact of interventions. It helps us see the bigger picture of health within populations.

Finally, accurate coding facilitates quality improvement initiatives . Healthcare organizations use coded data to monitor the quality of care they provide. By analyzing diagnoses and treatments associated with specific codes, they can identify areas where care might be lacking or where best practices aren’t being followed. For a condition like acute gingivitis, this could involve tracking how often patients are receiving appropriate follow-up care or whether preventive measures are being effectively communicated. This continuous feedback loop is crucial for improving patient outcomes and overall healthcare efficiency. So, you see, that little string of letters and numbers, like ICD-10 code K05.00 , actually plays a massive role in the complex world of healthcare.

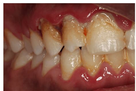
Symptoms and Diagnosis of Acute Gingivitis

Let’s chat about what you might actually feel or see when you’ve got acute gingivitis , and how doctors and dentists figure out that it’s indeed ICD-10 code K05.00 territory. As we touched on earlier, acute gingivitis isn’t shy about making its presence known. The key word here is ‘acute,’ meaning it tends to pop up relatively quickly and can be more intense than its chronic cousin. So, what are the tell-tale signs, guys?

The classic symptoms often include redness and swelling of the gums. Instead of that healthy, firm pink tissue, your gums might look puffy, inflamed, and a vibrant, sometimes angry, red. This is your body’s natural response to irritation and inflammation caused by those pesky bacteria in plaque. Another major indicator is bleeding . If your gums bleed when you brush your teeth, even if you’re being gentle, or if you notice blood after flossing, that’s a big red flag. This bleeding happens because the inflamed blood vessels in your gums become more fragile and prone to rupture. You might also experience tenderness or soreness in your gums. They might feel sensitive to touch, or even just the pressure of eating can be uncomfortable. In some cases, the bacterial overgrowth associated with gingivitis can lead to bad breath (halitosis) . This is because the bacteria are producing volatile sulfur compounds, which we all know as that unpleasant mouth odor. So, if you notice any of these changes, especially if they appear suddenly, it’s definitely worth paying attention to.

Diagnosing acute gingivitis typically involves a combination of patient history and a physical examination by a dental professional. When you go to the dentist, they’ll likely ask you about your symptoms – when they started, how severe they are, and any changes you’ve noticed in your oral hygiene routine. They’ll also want to know about your general health, as certain systemic conditions or medications can affect gum health. The visual inspection is crucial. Your dentist or hygienist will carefully examine your gums, looking for the signs we just discussed: redness, swelling, and any bleeding points. They might use a small dental instrument called a periodontal probe to gently measure the depth of the gum pockets around your teeth and check for bleeding. A healthy gum pocket is usually quite shallow, but inflammation can deepen these pockets. They’ll also assess your overall oral hygiene, looking for plaque and tartar buildup, which are the primary culprits behind most cases of gingivitis. In most straightforward cases of acute gingivitis, especially if the cause is clearly plaque buildup and the symptoms are recent, the diagnosis is clinical. The dentist sees the signs, understands the likely cause, and can recommend treatment. The ICD-10 code K05.00 is then assigned to document this clinical diagnosis in your medical record. It signifies that the condition is acute and that no further specific details are required for coding purposes at that time. If there were a specific underlying cause identified (like a medication-induced gingivitis, which would have a different code), or if the gingivitis were chronic, the code would change accordingly. But for a standard, acute presentation, K05.00 is the go-to code. It’s all about precise documentation for effective healthcare!

Treatment and Prevention Strategies

So, you’ve been diagnosed with acute gingivitis , and the doctor has logged it under ICD-10 code K05.00 . What now, guys? The good news is that acute gingivitis is generally quite treatable and, even better, highly preventable. The primary goal of treatment is to reduce inflammation, eliminate the cause (usually plaque), and restore gum health. Let’s dive into the strategies.

Treatment for acute gingivitis primarily focuses on improving oral hygiene and removing irritants. The cornerstone of treatment is a professional dental cleaning . During this appointment, your dentist or dental hygienist will meticulously remove plaque and tartar buildup from your teeth, both above and below the gum line. Tartar, also known as calculus, is hardened plaque that you can’t remove with brushing and flossing alone, so professional help is essential. Following the cleaning, your dental team will likely provide personalized oral hygiene instructions . This means they’ll show you the most effective way to brush and floss your teeth to remove plaque thoroughly. They might recommend specific brushing techniques, like the Bass method, and emphasize the importance of reaching all surfaces of your teeth, including the gum line.

In some cases, especially if the gingivitis is more severe or if there’s a specific contributing factor, your dentist might recommend antimicrobial mouth rinses . These rinses can help reduce the bacteria in your mouth and control inflammation. However, these are usually used as a supplement to, not a replacement for, good brushing and flossing. If the acute gingivitis is linked to other factors, like nutritional deficiencies or certain systemic illnesses, addressing those underlying issues becomes part of the treatment plan as well. The key takeaway is that with consistent and proper care, acute gingivitis is usually reversible, and your gums can return to their healthy state.

Now, let’s talk about prevention , because honestly, preventing it in the first place is always the best strategy, right? The most effective way to prevent acute gingivitis is through consistent and thorough daily oral hygiene . This means:

  • Brushing : Brush your teeth at least twice a day for two minutes each time, using a soft-bristled toothbrush and fluoride toothpaste. Make sure you’re brushing gently along the gum line.
  • Flossing : Floss at least once a day to remove plaque and food particles from between your teeth and under the gum line where your toothbrush can’t reach.
  • Regular Dental Check-ups : Visit your dentist for regular check-ups and professional cleanings, typically every six months, or as recommended by your dentist. These visits are crucial for catching any early signs of gum disease and for removing stubborn tartar.
  • Healthy Diet : Eating a balanced diet rich in vitamins and minerals, particularly Vitamin C, can support gum health. Limiting sugary snacks and drinks also helps reduce the fuel for plaque-forming bacteria.
  • Avoid Smoking : Smoking is a major risk factor for gum disease. If you smoke, quitting can significantly improve your oral health.

By incorporating these practices into your daily routine, you can keep plaque under control, prevent inflammation, and maintain healthy gums for years to come. Remember, your oral health is a vital part of your overall well-being, so taking care of your gums is essential. And if you ever experience those tell-tale signs of acute gingivitis, don’t hesitate to see your dentist. Early intervention is key!