Invasive Breast Carcinoma Grade 3: Understanding NST

A.Manycontent 147 views
Invasive Breast Carcinoma Grade 3: Understanding NST

Invasive Breast Carcinoma Grade 3: Understanding NST

Let’s dive into understanding invasive breast carcinoma , specifically the ‘no special type’ (NST) grade 3. This basically means we’re talking about a type of breast cancer that’s spread from where it started in the milk ducts or lobules into the surrounding breast tissue. The ‘no special type’ part indicates that the cancer cells don’t have specific features that would classify them into another subtype, like lobular or tubular carcinoma. And ‘grade 3’? That tells us how aggressive the cancer cells look under a microscope. A higher grade generally means the cells are growing and dividing more rapidly. So, in simple terms, we’re dealing with a more aggressive form of invasive breast cancer that doesn’t fit neatly into other specific categories. Now, let’s get into the nitty-gritty of what all this actually means for diagnosis, treatment, and what to expect.

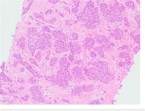
When doctors examine breast tissue under a microscope, they look for certain characteristics to determine the grade of the cancer. For grade 3 invasive breast carcinoma , the cells are poorly differentiated, meaning they don’t look much like normal breast cells. They often have irregular shapes, larger nuclei (the control center of the cell), and are dividing more quickly than normal cells. This rapid cell division is what makes grade 3 cancers more aggressive. The pathologist (a doctor who specializes in diagnosing diseases by examining tissue) will assess several features, including how the cells are arranged, the size and shape of the nuclei, and the number of cells that are actively dividing (mitotic count). All of these factors contribute to determining the grade of the cancer.

Understanding the grade is super important because it helps doctors predict how the cancer might behave and how well it might respond to treatment. Grade 3 cancers tend to grow and spread more quickly than lower-grade cancers, so they often require more aggressive treatment strategies. This might include a combination of surgery, radiation therapy, chemotherapy, and hormone therapy, depending on the specific characteristics of the cancer and the individual patient’s situation. Don’t worry, we’ll break down all those treatment options later. For now, just remember that the grade is a key piece of information that helps doctors make informed decisions about the best course of action.

Understanding Invasive Breast Carcinoma (NST)

Hey guys, let’s break down invasive breast carcinoma of no special type (NST) ! So, what exactly does this term even mean ? Well, in the world of breast cancer, when doctors examine tissue under a microscope, they try to categorize the cancer cells into specific subtypes based on their appearance and characteristics. These subtypes include things like lobular carcinoma, tubular carcinoma, and mucinous carcinoma, each with its own unique features.

But sometimes, the cancer cells don’t quite fit neatly into any of these predefined categories. That’s where the term “no special type” comes in. It essentially means that the cancer cells have the characteristics of invasive ductal carcinoma, which is the most common type of breast cancer, but they don’t have enough specific features to be classified into any of the other more specialized subtypes. Think of it like this: it’s the default category for invasive breast cancers that don’t have any particularly distinguishing features. Make sense? Now, even though it’s called “no special type,” it doesn’t mean it’s not important! It just means that doctors need to look at other factors, like the grade of the cancer and its hormone receptor status, to determine the best treatment plan.

So, why is it important to even know about NST? Because it’s the most common type of invasive breast cancer! Knowing this helps you understand that you’re not alone if you’ve been diagnosed with it. Many women are diagnosed with NST invasive breast carcinoma each year. And while the term itself might sound a bit vague, remember that doctors use a lot more information than just the subtype to determine the best treatment. They’ll also look at the grade of the cancer (how aggressive the cells look), the hormone receptor status (whether the cancer cells are fueled by estrogen or progesterone), and the HER2 status (whether the cancer cells have too much of a protein called HER2). All of these factors, combined with your overall health and preferences, will help guide your treatment plan. So, don’t get too hung up on the “no special type” part – it’s just one piece of the puzzle!

Grade 3: What Does It Signify?

Okay, let’s talk about grade 3 . In the context of invasive breast carcinoma, the grade refers to how abnormal the cancer cells look under a microscope compared to normal breast cells. It’s a measure of how quickly the cells are growing and dividing, and how much they’ve lost their normal characteristics. The grading system typically ranges from 1 to 3, with grade 1 being the least aggressive and grade 3 being the most aggressive. So, when we say “grade 3 invasive breast carcinoma,” we mean that the cancer cells look very different from normal breast cells and are growing and dividing rapidly.

What makes a cancer a grade 3? Pathologists (those doctors who specialize in examining tissue) look at several factors when determining the grade. These include: how the cells are arranged (are they forming normal structures or are they disorganized?), the size and shape of the nuclei (the control centers of the cells), and the number of cells that are actively dividing (the mitotic count). In grade 3 cancers, the cells are typically poorly differentiated, meaning they don’t look much like normal breast cells. They often have large, irregular nuclei and a high mitotic count, indicating rapid cell division. All of these features suggest that the cancer is growing and spreading quickly. Because grade 3 cancers are more aggressive, they often require more intensive treatment than lower-grade cancers. This might include a combination of surgery, radiation therapy, chemotherapy, and targeted therapies, depending on the specific characteristics of the cancer and the individual patient’s situation.

It’s important to remember that the grade is just one factor that doctors consider when determining the best treatment plan. They’ll also look at the subtype of the cancer (like NST), the hormone receptor status, the HER2 status, and your overall health and preferences. All of these factors are taken into account to create a personalized treatment plan that’s tailored to your specific needs. While a grade 3 diagnosis can be scary, it doesn’t mean that the cancer is untreatable. With the right treatment, many women with grade 3 invasive breast carcinoma go on to live long and healthy lives. It’s all about understanding the specifics of your case and working closely with your medical team to develop the best approach.

Treatment Options

Alright, let’s explore treatment options for invasive breast carcinoma NST grade 3. Treatment for this type of cancer is usually multimodal, meaning it involves a combination of different approaches. The specific treatment plan will depend on several factors, including the size of the tumor, whether it has spread to the lymph nodes, the hormone receptor status (ER and PR), the HER2 status, and your overall health. The main treatment modalities include surgery, radiation therapy, chemotherapy, hormone therapy, and targeted therapy.

  • Surgery: The goal of surgery is to remove the cancer from the breast. There are two main types of surgery: lumpectomy (removal of the tumor and a small amount of surrounding tissue) and mastectomy (removal of the entire breast). The choice between these options depends on the size and location of the tumor, as well as your personal preferences. In addition to removing the tumor, the surgeon will also typically remove some lymph nodes from under the arm (axillary lymph node dissection or sentinel lymph node biopsy) to see if the cancer has spread. If the cancer has spread to the lymph nodes, more extensive surgery may be needed.
  • Radiation Therapy: Radiation therapy uses high-energy rays to kill any remaining cancer cells in the breast and surrounding tissues after surgery. It’s typically used after lumpectomy to reduce the risk of recurrence. It may also be used after mastectomy if the tumor was large or if the cancer had spread to the lymph nodes. Radiation therapy is usually given daily for several weeks.
  • Chemotherapy: Chemotherapy uses drugs to kill cancer cells throughout the body. It’s often used for grade 3 invasive breast carcinoma because these cancers are more likely to spread to other parts of the body. Chemotherapy may be given before surgery (neoadjuvant chemotherapy) to shrink the tumor and make it easier to remove, or after surgery (adjuvant chemotherapy) to kill any remaining cancer cells and reduce the risk of recurrence. There are many different types of chemotherapy drugs, and the specific regimen used will depend on the characteristics of the cancer and your overall health.
  • Hormone Therapy: Hormone therapy is used to block the effects of estrogen and progesterone on cancer cells. It’s only effective for cancers that are hormone receptor-positive (ER+ and/or PR+). Hormone therapy drugs include tamoxifen, which blocks estrogen receptors, and aromatase inhibitors, which reduce the amount of estrogen produced by the body. Hormone therapy is typically given for several years after surgery and other treatments.
  • Targeted Therapy: Targeted therapy drugs are designed to specifically target certain molecules or pathways that are important for cancer cell growth and survival. One common targeted therapy is trastuzumab (Herceptin), which targets the HER2 protein. It’s used for cancers that are HER2-positive, meaning they have too much of the HER2 protein. Other targeted therapies may be used depending on the specific characteristics of the cancer. Remember, treatment is highly individualized. Always discuss your options and concerns with your oncologist to create a plan that’s right for you.

Living with Invasive Breast Carcinoma

Okay, let’s talk about living with invasive breast carcinoma . A cancer diagnosis can turn your world upside down, right? It’s a lot to take in. But remember, you’re not alone, and there’s a ton of support available. Managing the emotional and physical aspects of treatment is super important.

  • Emotional Support: First off, let’s talk about the emotional side. It’s totally normal to feel a whole range of emotions – fear, anger, sadness, anxiety… you name it. Finding healthy ways to cope with these feelings is key. Talking to a therapist or counselor who specializes in cancer can be incredibly helpful. They can provide a safe space for you to process your emotions and develop coping strategies. Support groups are also amazing. Connecting with other women who are going through the same thing can make you feel less alone and give you a chance to share experiences and tips.
  • Physical Well-being: Now, let’s move on to the physical side. Treatment can take a toll on your body, so it’s important to take care of yourself. Eating a healthy diet, getting regular exercise (even if it’s just a short walk each day), and getting enough sleep can all help you feel better. Managing side effects from treatment is also crucial. Talk to your doctor about any side effects you’re experiencing, and they can recommend ways to manage them. This might include medications, lifestyle changes, or complementary therapies like acupuncture or massage.
  • Long-term Follow-up: After treatment, it’s important to have regular follow-up appointments with your doctor. These appointments will include physical exams, imaging tests (like mammograms), and blood tests to monitor for any signs of recurrence. It’s also important to be aware of any long-term side effects from treatment and to discuss them with your doctor. Remember to be your own advocate! Don’t be afraid to ask questions, express your concerns, and seek out the information and support you need. There are tons of resources available, so take advantage of them. Organizations like the American Cancer Society and the National Breast Cancer Foundation offer a wealth of information and support services. You’ve got this! Take it one day at a time, and remember that there’s hope and support available every step of the way.

Disclaimer: This information is for general knowledge purposes only and does not constitute medical advice. It is essential to consult with a qualified healthcare professional for any health concerns or before making any decisions related to your health or treatment.