Ovaries: Key To Conception, Not Baby's Full Growth

A.Manycontent 99 views
Ovaries: Key To Conception, Not Baby's Full Growth

Ovaries: Key to Conception, Not Baby’s Full Growth

Hey there, future parents and curious minds! Today, we’re diving deep into a topic that often causes a bit of confusion: the ovaries and their role in baby development. There’s a common misconception that the ovaries are where a baby develops , but guys, that’s not quite right. While ovaries are absolutely crucial for starting the journey of life , they aren’t the nursery for a growing fetus. Think of them more like the incredibly vital architects of the very first spark, not the long-term construction site. So, let’s clear things up and explore the fascinating and irreplaceable functions of your ovaries in the grand scheme of human reproduction. We’re going to break down exactly what these incredible organs do, what happens next in the process, and why understanding their role is so important for anyone interested in fertility, pregnancy, or just how amazing the human body is. Get ready to discover the true powerhouses of female reproduction!

Understanding the Ovaries: The True Powerhouses of Female Reproduction

Alright, let’s talk about the ovaries themselves, because these small, almond-shaped organs are absolutely central to female reproduction and, by extension, to the very possibility of creating new life. Located in the pelvis, one on each side of the uterus, the ovaries are the primary reproductive organs in females . Their main job? They’re the literal factories for producing eggs, also known as ova, which are the female reproductive cells. But wait, there’s more! Beyond just egg production, these little powerhouses are also endocrine glands , meaning they’re responsible for churning out some incredibly important hormones, primarily estrogen and progesterone . These hormones are not just vital for reproduction; they play a massive role in a woman’s overall health, from regulating the menstrual cycle to influencing bone density and even mood. Pretty wild, right?

Each ovary contains thousands of tiny follicles, and inside these follicles are immature eggs. From puberty until menopause, during each menstrual cycle, typically one of these follicles matures, and an egg is released – a process we call ovulation . This cyclical release of an egg is precisely what makes conception possible. Without healthy, functioning ovaries, this fundamental step in reproduction simply can’t happen. The quality and quantity of eggs a woman has are directly linked to her ovarian health and her fertility window. As a woman ages, the number and quality of her eggs naturally decline, which is why fertility often decreases with age. Furthermore, the hormones produced by the ovaries are the conductors of the entire female reproductive system. Estrogen , for example, is essential for the development of secondary sexual characteristics, the thickening of the uterine lining (preparing for a potential pregnancy), and maintaining overall reproductive tissue health. Progesterone , on the other hand, steps in after ovulation, further preparing the uterus for implantation and then helping to maintain a pregnancy once it occurs. Conditions like Polycystic Ovary Syndrome ( PCOS ) can significantly impact ovarian function, leading to irregular ovulation and hormonal imbalances, which can make conception challenging. Understanding these intricate roles underscores just how vital these small organs are, not just for the initiation of potential baby development , but for a woman’s entire physiological well-being. It’s a complex and beautiful system, and the ovaries are definitely running the show when it comes to the very first steps towards a baby.

The Journey Begins: How Ovaries Kickstart Early Development

So, we’ve established that the ovaries are incredible egg and hormone producers. Now, let’s zoom in on how they kickstart what could potentially become a baby. This is where the magic of conception truly begins, and it’s a phase often misunderstood when people think about baby development . What happens is that during ovulation , one mature egg is released from an ovary. This egg then embarks on a journey, usually making its way into the fallopian tube, which acts like a tiny highway connecting the ovary to the uterus. It’s here, typically in the fallopian tube, that if sperm are present, fertilization can occur. This moment, when a sperm successfully penetrates and merges with the egg, creates a single cell called a zygote . This zygote is truly the very first stage of embryonic development , containing all the genetic material needed for a new human being. Isn’t that wild? It’s literally the beginning of everything!

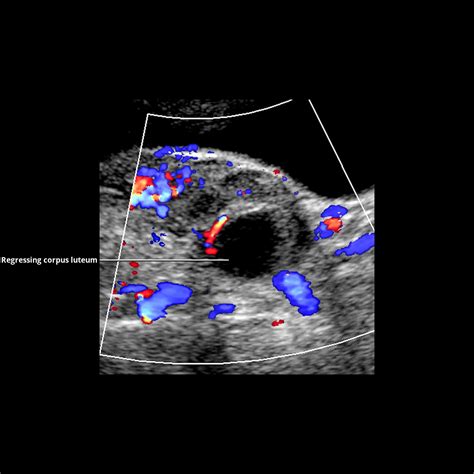
But here’s the crucial part: while the egg originated in the ovary and was released by it, and the initial fertilization might happen near it, the zygote does not develop into a baby within the ovary itself . Instead, after fertilization, this tiny zygote begins a rapid series of cell divisions, transforming into a multicellular structure known as a morula , and then a blastocyst . All this cellular transformation happens while the blastocyst is still making its way down the fallopian tube towards the uterus. This entire process, from ovulation to the arrival of the blastocyst in the uterus, usually takes about 3-5 days. During this time, the ovary continues its work, particularly the part of the follicle that released the egg, which transforms into something called the corpus luteum . The corpus luteum is a temporary endocrine gland that produces a significant amount of progesterone . This progesterone is absolutely vital because it helps thicken and enrich the uterine lining, creating a welcoming, nutrient-rich environment for the blastocyst to implant. Without this progesterone from the corpus luteum, successful implantation would be incredibly difficult, if not impossible. So, while the actual development of the baby’s organs and systems won’t occur in the ovary, the ovary’s initial actions – releasing the egg and then providing the hormonal support via the corpus luteum – are indispensable for setting the stage for pregnancy. It’s an intricate dance, and the ovary is definitely leading the opening number!

The Uterus Takes Over: Where True Fetal Development Happens

Okay, so we’ve followed the journey from the ovary releasing an egg , through fertilization , and the formation of a blastocyst making its way down the fallopian tube. Now, let’s talk about the real superstar of sustained baby development : the uterus . Once that tiny blastocyst successfully reaches and embeds itself into the rich, prepared lining of the uterus—a process called implantation —that’s when the true marathon of fetal growth and development really kicks off. The uterus, often referred to as the womb, is a remarkable, pear-shaped muscular organ that is specifically designed to house and nurture a growing baby for approximately nine months. This is the primary site for fetal development , guys, not the ovary. Inside the uterus, the implanted blastocyst quickly begins to differentiate, forming an embryo, and then a fetus. The uterine wall provides not only a protective environment but also a direct connection to the mother’s bloodstream through the development of the placenta .

The placenta is an incredible temporary organ that forms within the uterus and acts as the lifeline between mom and baby. It facilitates the exchange of nutrients, oxygen, and waste products, ensuring the baby gets everything it needs to grow, while also filtering out what it doesn’t. Without a healthy uterus and a functioning placenta, sustained fetal development simply isn’t possible. Over the next several months, the embryo undergoes an astonishing transformation. Its cells rapidly divide and specialize, forming all the major organs and body systems: the brain, heart, lungs, limbs, and everything else that makes up a human being. We’re talking about incredibly complex processes, from the first heartbeat at around 5-6 weeks of gestation, to the development of fingers and toes, to the intricate wiring of the nervous system. The uterus expands dramatically during this time, stretching to accommodate the growing baby, the amniotic fluid that cushions it, and the placenta. Its muscular walls also play a critical role during childbirth, contracting powerfully to help deliver the baby into the world. Conditions that affect the uterus, such as fibroids, endometriosis, or structural abnormalities, can significantly impact a woman’s ability to carry a pregnancy to term. This highlights just how pivotal the uterus is in providing the environment and support needed for the complete development of a baby . While the ovaries start the show, the uterus truly takes center stage for the entire pregnancy, nurturing and protecting that precious life every single day until birth. It’s a testament to the incredible design of the female reproductive system.

Hormonal Symphony: Ovaries’ Crucial Role Throughout Pregnancy

Even after the uterus takes over the primary role of hosting and nurturing the growing baby, it’s essential to remember that the ovaries don’t just clock out. Oh no, guys, their role remains absolutely crucial , especially during the early stages of pregnancy, through their continuous production of vital hormones. This is truly a hormonal symphony , and the ovaries are key players, orchestrating the environment necessary for the pregnancy to thrive. The most important hormone during this initial period is progesterone . Remember the corpus luteum we talked about, the structure formed from the follicle after ovulation? Well, this temporary gland within the ovary is the primary producer of progesterone during the first 7-10 weeks of pregnancy.

Why is this progesterone so important? It’s essentially the linchpin that maintains the pregnancy in its nascent stages. Progesterone helps to thicken and prepare the uterine lining (the endometrium) for implantation, and once implantation occurs, it prevents the uterine muscles from contracting prematurely, which could otherwise lead to a miscarriage. It also supports the development of the placenta and helps to suppress the mother’s immune response, ensuring that her body doesn’t reject the developing embryo. Without adequate progesterone levels from the ovarian corpus luteum , the pregnancy simply cannot be sustained. In some cases, if a woman’s body doesn’t produce enough progesterone, supplementary progesterone might be prescribed to support the early pregnancy. Around weeks 7-10 of gestation, something incredible happens: the placenta , which has been developing rapidly within the uterus, takes over the primary production of progesterone. At this point, the corpus luteum in the ovary typically starts to degenerate , having successfully passed the baton to the new, fully-formed placental structure. This transition is a critical milestone in pregnancy, marking a shift in hormonal command. While the ovaries’ direct hormonal contribution might lessen after the first trimester, they continue to produce other important hormones, albeit in smaller quantities, and remain integral to the overall endocrine system. Their long-term health is also important for the overall hormonal balance that impacts a woman’s body throughout her life. So, while the baby isn’t developing in the ovary, the ovary’s early hormonal output is absolutely indispensable for creating and sustaining the very environment where that development can successfully unfold. It’s a fantastic example of the interconnectedness of our body’s systems, all working together for the ultimate goal of creating and nourishing new life. The ovaries truly set the stage for success!

Protecting Your Ovarian Health: Tips for a Brighter Future

Given the incredibly vital roles that ovaries play—from producing eggs and essential hormones to kicking off the very start of a potential pregnancy—it’s only natural that we should discuss how to keep them as healthy as possible. Ovarian health isn’t just crucial for fertility; it’s a significant component of a woman’s overall well-being throughout her life. Taking proactive steps can make a big difference, guys, so let’s dive into some practical tips to ensure your ovaries are functioning optimally for a brighter reproductive future.

First and foremost, regular gynecological check-ups are non-negotiable. Visiting your gynecologist yearly allows for early detection of any potential issues, like ovarian cysts, endometriosis, or more serious conditions. These appointments are also a great opportunity to discuss any concerns you might have about your menstrual cycle, pain, or fertility. Don’t skip these; they are your frontline defense! Next up, let’s talk about lifestyle choices . A balanced diet rich in fruits, vegetables, whole grains, and lean proteins is fundamental. Limiting processed foods, excessive sugar, and unhealthy fats can help reduce inflammation and maintain hormonal balance, which directly benefits ovarian function. Coupled with diet, maintaining a healthy weight is incredibly important. Being overweight or underweight can disrupt hormonal regulation, potentially leading to irregular periods, ovulation problems, and conditions like PCOS , which directly impacts ovarian health and fertility. Regular, moderate exercise also plays a key role, improving blood flow, reducing stress, and contributing to overall hormonal balance. Furthermore, managing stress effectively is crucial. Chronic stress can wreak havoc on your hormones, including those produced by your ovaries. Techniques like yoga, meditation, mindfulness, or simply engaging in hobbies you enjoy can help keep stress levels in check. Avoiding smoking and excessive alcohol consumption is another critical step, as these substances can negatively impact egg quality and overall reproductive health. Finally, listening to your body is paramount. If you experience persistent pelvic pain, unusual changes in your menstrual cycle, bloating, or any other concerning symptoms, don’t hesitate to seek medical advice. These could be indicators of an underlying ovarian issue that needs attention. Early intervention can often lead to better outcomes. By adopting these healthy habits and staying proactive about your health, you’re not only safeguarding your ovaries but also investing in your overall health and well-being. Remember, taking care of these amazing organs is taking care of a fundamental part of what makes you, you, and what enables the incredible journey of life to begin.

Concluding Thoughts: Appreciating the Ovaries’ True Power

So there you have it, folks! We’ve journeyed through the incredible world of the ovaries , debunking the myth that they are the site of full baby development and instead highlighting their true, irreplaceable power . While the uterus is indeed the dedicated home for a growing baby, it’s the ovaries that lay the fundamental groundwork, producing the vital eggs and the essential hormones like estrogen and progesterone that kickstart and maintain the very early stages of pregnancy. From the release of that single, precious egg during ovulation to the critical hormonal support provided by the corpus luteum after fertilization, the ovaries are the undisputed architects of conception. They are the initial spark, the critical first domino in the complex and miraculous process of creating new life. Understanding their precise role not only clarifies common misconceptions but also deepens our appreciation for the intricate beauty of the female reproductive system. So, next time you hear about pregnancy, remember to give a nod to these small but mighty organs—the ovaries —for their extraordinary contribution to the beginning of every human story. They might not carry the baby, but they sure do make the whole journey possible!