Understanding Grade 3 Triple-Negative Invasive Ductal Carcinoma

A.Manycontent 79 views
Understanding Grade 3 Triple-Negative Invasive Ductal Carcinoma

Understanding Grade 3 Triple-Negative Invasive Ductal Carcinoma

Alright, let’s dive into understanding invasive ductal carcinoma grade 3 triple-negative breast cancer . This is a specific type of breast cancer, and breaking down each term helps to clarify what it means for those affected. Invasive ductal carcinoma (IDC) is the most common form of breast cancer. It starts in the milk ducts and then invades surrounding breast tissue. The term “invasive” means the cancer cells have spread beyond the ducts where they originated. Ductal carcinoma refers to the fact that the cancer began in the milk ducts, which are tubes that carry milk to the nipple. Grade 3 indicates how abnormal the cancer cells look under a microscope and how quickly they are likely to grow and spread. A higher grade, like Grade 3, means the cells look very different from normal cells and are growing rapidly. Triple-negative breast cancer means the cancer cells do not have estrogen receptors, progesterone receptors, or HER2 receptors. These receptors are proteins that can fuel cancer growth when stimulated by hormones or growth factors. The absence of these receptors means that common hormone therapies and HER2-targeted therapies won’t work, making treatment more challenging. Understanding these components is crucial for anyone dealing with this diagnosis, as it informs treatment options and potential outcomes. The intersection of these characteristics creates a unique cancer profile that necessitates a tailored treatment approach. Triple-negative breast cancer, in general, tends to be more aggressive than other types of breast cancer, emphasizing the need for early detection and comprehensive management. Genetic testing may also play a crucial role in identifying potential hereditary factors and guiding treatment decisions. So, to sum it up, Invasive Ductal Carcinoma Grade 3 Triple-Negative Breast Cancer is an aggressive form of breast cancer that requires an intricate and comprehensive understanding of its characteristics for effective management and treatment.

What is Invasive Ductal Carcinoma?

Okay, let’s break down invasive ductal carcinoma (IDC) a bit more. Think of your breast as a city, and the milk ducts are like the highways. Invasive ductal carcinoma is like a traffic jam that starts on those highways (the milk ducts) and then spills over into the surrounding streets (the breast tissue). Invasive means that the cancer cells have moved beyond where they started—the milk ducts—and are now infiltrating the surrounding breast tissue. Ductal indicates that it originated in the milk ducts, which are responsible for carrying milk to the nipple. Carcinoma simply refers to a type of cancer that begins in the epithelial cells, which line organs and tissues throughout the body. IDC is the most common type of breast cancer, accounting for about 70-80% of all breast cancer cases. Unlike ductal carcinoma in situ (DCIS), which is confined to the milk ducts, IDC has the potential to spread to other parts of the body through the bloodstream and lymphatic system. Early detection of IDC is crucial because it allows for more effective treatment before the cancer has a chance to metastasize. Regular self-exams, clinical breast exams, and mammograms are all important tools for finding IDC in its early stages. When IDC is diagnosed, doctors will perform additional tests to determine the stage and grade of the cancer. Staging assesses the extent of the cancer’s spread, while grading evaluates how abnormal the cancer cells look under a microscope. Treatment options for IDC typically include surgery, radiation therapy, chemotherapy, hormone therapy, and targeted therapy, depending on the specific characteristics of the cancer. Understanding what IDC is and how it differs from other types of breast cancer is the first step in navigating a diagnosis and making informed decisions about treatment. It’s like knowing the route you need to take before starting a journey – it helps you plan and prepare for what lies ahead. So, stay informed, ask questions, and work closely with your healthcare team to develop a personalized treatment plan that’s right for you.

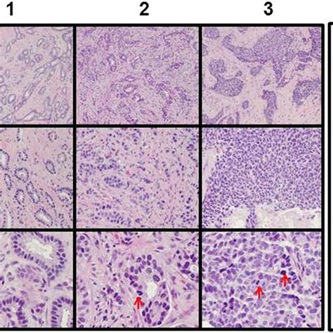
Understanding Grade 3 Cancer

Alright, let’s get into what it means when we talk about Grade 3 cancer . In the simplest terms, the “grade” of a cancer refers to how abnormal the cancer cells look under a microscope and how quickly they are likely to grow and spread. Think of it like this: if normal cells are well-behaved students in a classroom, Grade 3 cancer cells are like the unruly kids causing chaos. A pathologist examines the cancer cells and assigns a grade based on several factors, including the size and shape of the cells, how much they differ from normal cells, and how quickly they are dividing. Grade 3 cancer cells look very different from normal cells and are growing and dividing rapidly. This is also known as poorly differentiated or high-grade cancer. The higher the grade, the more aggressive the cancer is likely to be. Grade 3 cancers tend to grow and spread more quickly than lower-grade cancers, such as Grade 1 or Grade 2. This doesn’t mean that Grade 3 cancer is a death sentence, but it does mean that it requires more aggressive treatment. Treatment options for Grade 3 cancer may include surgery, radiation therapy, chemotherapy, and targeted therapy. The specific treatment plan will depend on the type and stage of the cancer, as well as the patient’s overall health. Because Grade 3 cancers are more aggressive, they often require a combination of treatments to effectively control the disease. Regular monitoring and follow-up appointments are also crucial to ensure that the cancer doesn’t return. It’s important to remember that the grade of a cancer is just one piece of the puzzle. Other factors, such as the stage of the cancer, the patient’s age and health, and the presence of other medical conditions, will also influence the treatment plan and prognosis. So, while Grade 3 cancer can be a scary diagnosis, it’s important to stay informed, ask questions, and work closely with your healthcare team to develop the best possible treatment strategy. Think of it like facing a tough challenge – with the right tools and support, you can overcome it.

The Significance of Triple-Negative Breast Cancer

Now, let’s tackle triple-negative breast cancer (TNBC) . This term refers to a type of breast cancer that doesn’t have any of the three receptors that are commonly found in other types of breast cancer: estrogen receptors (ER), progesterone receptors (PR), and human epidermal growth factor receptor 2 (HER2). Imagine these receptors as antennas on the surface of cancer cells. These antennas can receive signals from hormones (estrogen and progesterone) or growth factors (HER2), which then tell the cancer cells to grow and divide. In triple-negative breast cancer, these antennas are missing, which means that the cancer cells don’t respond to hormonal therapies or HER2-targeted therapies like trastuzumab (Herceptin). About 10-15% of all breast cancers are triple-negative. TNBC tends to be more aggressive and has a higher risk of recurrence compared to other types of breast cancer. It is also more common in younger women, African American women, and women with a BRCA1 gene mutation. Because TNBC doesn’t respond to hormone therapy or HER2-targeted therapy, treatment options are more limited. Chemotherapy is the main treatment option for TNBC. In some cases, surgery and radiation therapy may also be used. Researchers are actively working to develop new treatments for TNBC, including targeted therapies that target other molecules on the surface of cancer cells. Immunotherapy is also showing promise in treating TNBC. This type of therapy uses the body’s own immune system to fight cancer cells. Living with TNBC can be challenging, but it’s important to remember that you’re not alone. There are many resources available to help you cope with the emotional and practical challenges of this disease. Support groups, online forums, and counseling services can provide valuable support and guidance. It’s also important to stay informed about the latest research and treatment options. By working closely with your healthcare team and staying proactive in your care, you can improve your chances of a successful outcome. So, even though TNBC can be a tough diagnosis, remember that there is hope, and there are people who care and want to help.

Treatment Options and Considerations

Okay, let’s chat about treatment options and considerations for invasive ductal carcinoma grade 3 triple-negative breast cancer. Because this type of breast cancer is aggressive and doesn’t respond to hormonal therapies or HER2-targeted therapies, treatment often involves a combination of approaches. Chemotherapy is typically the first line of defense. It uses powerful drugs to kill cancer cells throughout the body. The specific chemotherapy regimen will depend on the stage of the cancer, the patient’s overall health, and other factors. Surgery is another important part of treatment. The goal of surgery is to remove as much of the cancer as possible. Depending on the size and location of the tumor, surgery may involve a lumpectomy (removal of the tumor and a small amount of surrounding tissue) or a mastectomy (removal of the entire breast). Radiation therapy is often used after surgery to kill any remaining cancer cells in the breast area. It uses high-energy rays to target and destroy cancer cells. In some cases, targeted therapies may be used to treat TNBC. These drugs target specific molecules on the surface of cancer cells that are involved in cancer growth and spread. Immunotherapy is a newer treatment option that is showing promise in treating TNBC. It uses the body’s own immune system to fight cancer cells. Clinical trials are also an important consideration for patients with TNBC. These trials test new treatments and therapies that may be more effective than current options. Participating in a clinical trial can give you access to cutting-edge treatments and help advance research in this area. In addition to these conventional treatments, there are also supportive therapies that can help manage the side effects of cancer treatment. These may include pain medication, anti-nausea drugs, and nutritional support. Making lifestyle changes, such as eating a healthy diet, exercising regularly, and getting enough sleep, can also help improve your overall health and well-being during treatment. It’s important to have open and honest communication with your healthcare team throughout the treatment process. Ask questions, express your concerns, and be an active participant in your care. Remember, you’re not alone, and there are many resources available to help you navigate this challenging journey.

Living with Invasive Ductal Carcinoma Grade 3 Triple-Negative Breast Cancer

Alright, let’s talk about living with invasive ductal carcinoma grade 3 triple-negative breast cancer . This diagnosis can bring a whirlwind of emotions, from fear and anxiety to confusion and uncertainty. It’s essential to remember that you’re not alone and there are many resources available to support you. First and foremost, lean on your support system. Talk to your family, friends, and loved ones about what you’re going through. Sharing your feelings can help you cope with the emotional challenges of this diagnosis. Consider joining a support group for people with breast cancer. Connecting with others who have similar experiences can provide a sense of community and understanding. There are many online and in-person support groups available, so find one that feels like a good fit for you. Take care of your physical health. Eat a healthy diet, exercise regularly, and get enough sleep. These habits can help you feel better physically and emotionally. Manage your stress. Find healthy ways to cope with stress, such as yoga, meditation, or spending time in nature. Stress can weaken your immune system and make it harder to fight cancer. Stay informed about your diagnosis and treatment options. The more you know, the better equipped you’ll be to make informed decisions about your care. Don’t be afraid to ask your doctor questions. Be an active participant in your treatment plan. Keep a journal. Writing down your thoughts and feelings can be a helpful way to process your emotions and track your progress. Celebrate small victories. Acknowledge and celebrate your accomplishments, no matter how small they may seem. Whether it’s completing a round of chemotherapy or simply getting out of bed in the morning, every victory is worth celebrating. Practice self-compassion. Be kind to yourself and remember that it’s okay to have bad days. Don’t beat yourself up for not feeling strong or positive all the time. Seek professional help if you’re struggling to cope with the emotional challenges of this diagnosis. A therapist or counselor can provide you with the support and guidance you need to navigate this difficult time. Living with invasive ductal carcinoma grade 3 triple-negative breast cancer is a journey, not a destination. There will be ups and downs, good days and bad days. But with the right support and resources, you can live a full and meaningful life. Remember to focus on the present moment and cherish the things that bring you joy. You are stronger than you think, and you are not alone.