Understanding Pseudo Primigravida & Pregnancy
Understanding Pseudo Primigravida and Pregnancy: A Comprehensive Guide
Hey there, future parents and curious minds! Let’s dive into the world of pregnancy and demystify a term you might have stumbled upon: pseudo primigravida . It sounds a bit like a tongue twister, right? But don’t worry, we’ll break it down into easy-to-understand pieces. This guide aims to explain what pseudo primigravida means, how it relates to pregnancy, and why it matters. So, grab a comfy seat, and let’s get started!
Table of Contents
- What Exactly is a Pseudo Primigravida?
- Breaking Down the Terminology
- The Causes of Pseudo Primigravida
- Hormonal Imbalances
- Psychological Factors
- Other Medical Conditions
- Symptoms and Diagnosis of Pseudo Primigravida
- Recognizing the Symptoms
- The Diagnostic Process
- Managing Pseudo Primigravida
- Addressing the Underlying Causes
- Psychological Support
- Lifestyle Adjustments
- The Importance of Medical Follow-up
- Conclusion: Navigating the Complexities of Pseudo Primigravida
What Exactly is a Pseudo Primigravida?
Alright, let’s start with the basics. The term “primigravida” refers to a woman who is pregnant for the first time. Simple enough, yeah? Now, add the prefix “pseudo,” which means “false” or “fake.” Put it all together, and you get pseudo primigravida , which essentially describes a woman who appears to be pregnant for the first time, but isn’t actually. This can be due to a variety of factors, and we’ll explore those later. Think of it like a pregnancy imposter – it looks like the real deal, but there’s a different story behind the scenes.
It is essential to understand that being a pseudo primigravida doesn’t necessarily mean there’s something wrong. It just means that the woman may exhibit some signs and symptoms of pregnancy, even though she has had a previous pregnancy or pregnancies. The reasons behind this can range from hormonal imbalances to psychological factors. It’s crucial to approach this situation with understanding and not jump to conclusions. It is also important to seek professional medical advice to get a proper diagnosis.
So, why does this matter? Well, understanding the concept of pseudo primigravida can help manage expectations, both for the individual and healthcare providers. It also highlights the importance of accurate information and the need to seek professional medical advice when there are concerns about pregnancy. Furthermore, it helps us appreciate the complexities of the female reproductive system and the various factors that can influence it. In the upcoming sections, we’ll delve deeper into the causes, symptoms, and management of pseudo primigravida, and how it relates to overall pregnancy health.
Breaking Down the Terminology
Let’s break down the terminology to ensure we’re all on the same page. “ Gravida ” is a medical term used to describe a woman’s pregnancy history. It indicates the number of times a woman has been pregnant, regardless of the outcome of those pregnancies. So, a woman who has been pregnant once is a gravida 1, twice is gravida 2, and so on. Now, “ para ” is another related term that refers to the number of live births a woman has had. If a woman has given birth to one child, she is para 1. If she has given birth to two, she is para 2. And so forth. This gives a clearer understanding of a woman’s reproductive history.
Understanding these terms is critical when interpreting medical records and discussing pregnancy. For instance, a woman who is gravida 2, para 1 has been pregnant twice and has one live birth. It is worth noting that multiple pregnancies (twins, triplets, etc.) count as one pregnancy for gravida but increase the para number based on the number of babies born. Medical professionals use these terms to monitor pregnancies, assess risks, and tailor care. So, when you encounter these terms, you’ll know exactly what they mean. Plus, having a good grasp of the basics makes it a lot easier to communicate effectively with your doctor or other healthcare providers. If you are ever unsure about any of these terms, don’t hesitate to ask your healthcare provider for clarification!
The Causes of Pseudo Primigravida
Now, let’s explore the various factors that might lead to a pseudo primigravida situation. Understanding the underlying causes is crucial for accurate diagnosis and effective management. Let’s delve into some of the main reasons:
Hormonal Imbalances
One of the most common causes of pseudo primigravida is hormonal imbalances. These imbalances can mimic many of the symptoms of pregnancy, even when a woman isn’t actually pregnant. The main culprit here is often the hormone human chorionic gonadotropin (hCG) , which is typically produced during pregnancy. Elevated levels of hCG, even in the absence of a pregnancy, can trick the body into displaying pregnancy-like symptoms.
Several conditions can lead to elevated hCG levels. These can include ovarian cysts, certain types of tumors, and even some medications. These factors can cause the body to react as though it were pregnant, leading to missed periods, breast tenderness, nausea, and other typical pregnancy symptoms. It’s essential to undergo thorough medical tests to determine the exact cause of any hormonal imbalance. These tests can help differentiate between actual pregnancy and a pseudo-pregnancy scenario and ensure accurate treatment and care. If hormonal imbalances are identified, your healthcare provider will likely recommend treatments to bring the hormone levels back to normal. These can range from lifestyle changes to medication, depending on the root cause.
Psychological Factors
Believe it or not, psychological factors can play a big role in pseudo primigravida. In some cases, a strong desire to be pregnant can manifest in physical symptoms that resemble pregnancy. This phenomenon is often referred to as a pseudocyesis , or false pregnancy. The psychological stress of wanting a baby or fears of infertility can lead to the body responding in ways that mimic pregnancy. The symptoms may be so convincing that the woman may even feel fetal movements and experience abdominal enlargement.
These physical symptoms are usually very real to the person experiencing them. The body responds to the mind’s thoughts and beliefs, creating a cascade of hormonal and physical changes. This is a complex interplay of the mind and body. Addressing the psychological aspects is essential. This often involves counseling, therapy, and support groups. Healthcare providers may suggest a combination of psychological support and physical examinations. This multifaceted approach can help women navigate their symptoms effectively and feel more in control. It’s crucial to acknowledge the psychological component of these conditions and offer support to those affected.
Other Medical Conditions
Various other medical conditions can also lead to symptoms that resemble pregnancy. These conditions can cause physical changes that mimic pregnancy symptoms, further complicating the situation. Some common examples include:
- Ovarian Cysts: These fluid-filled sacs on the ovaries can cause abdominal swelling, irregular periods, and other pregnancy-like symptoms.
- Uterine Fibroids: These noncancerous growths in the uterus can cause abdominal enlargement and changes in menstrual cycles.
- Certain Tumors: Some types of tumors, especially those that produce hormones, can trigger pregnancy-like symptoms.
If you’re experiencing any pregnancy-like symptoms, it is critical to consult a healthcare provider for a thorough examination and diagnosis. This often involves a physical exam, blood tests, and imaging tests like ultrasounds. These tests can help your healthcare provider differentiate between conditions that mimic pregnancy and actual pregnancy. Early diagnosis and intervention are critical for managing these conditions and maintaining overall health. A holistic approach, which considers physical and mental well-being, is often the best strategy.
Symptoms and Diagnosis of Pseudo Primigravida
So, what are the telltale signs that someone might be experiencing pseudo primigravida? And how is it diagnosed? Let’s take a closer look at the symptoms and the diagnostic process.
Recognizing the Symptoms
The symptoms of pseudo primigravida can be remarkably similar to those of an actual pregnancy. This can make it difficult to distinguish between the two without medical testing. Some of the common symptoms include:
- Missed or irregular periods: This is one of the most common signs. Changes in menstrual cycles can be a strong indicator of something happening in the body.
- Breast tenderness and enlargement: Hormonal changes, whether from pregnancy or other conditions, can lead to breast changes.
- Nausea and vomiting: Morning sickness, or nausea at any time of day, can be a symptom.
- Abdominal swelling: This can be due to hormonal changes, weight gain, or other underlying medical conditions.
- Weight gain: Even if not pregnant, hormonal imbalances can cause weight gain.
- Perception of fetal movements: Some women may feel what they think are fetal movements.
It’s important to remember that these symptoms can also be caused by various other medical conditions. If you experience these symptoms and suspect you might be dealing with pseudo primigravida, it’s crucial to seek medical advice for proper assessment and diagnosis.
The Diagnostic Process
Diagnosing pseudo primigravida involves a thorough evaluation by a healthcare provider. The process typically includes:
- Medical history and physical examination: The healthcare provider will ask about your symptoms, medical history, and any medications you are taking. A physical exam will be performed to assess your overall health and look for any physical signs.
- Pregnancy tests: A pregnancy test is typically the first step. This will help determine if there are elevated levels of hCG, which could be indicative of pregnancy.
- Blood tests: Additional blood tests can be used to measure hormone levels, check for anemia, and assess overall health.
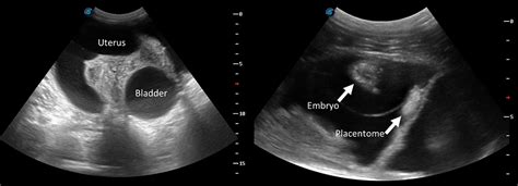
- Ultrasound: An ultrasound can confirm or rule out pregnancy by visualizing the uterus and ovaries. This is a very helpful tool in providing a clear answer to confirm. It can also help identify any underlying medical conditions, such as ovarian cysts or uterine fibroids.
Based on the results of these tests and evaluations, your healthcare provider will give a diagnosis and recommend appropriate treatment and management strategies. Always remember, accurate diagnosis is the first step toward effective management and care. Always prioritize your health and well-being.
Managing Pseudo Primigravida
Once a diagnosis of pseudo primigravida has been made, the focus shifts to managing the symptoms and addressing any underlying causes. Management strategies will vary depending on the root cause and the specific symptoms. Here are some of the typical approaches:
Addressing the Underlying Causes
If a medical condition or hormonal imbalance is identified as the cause, the healthcare provider will address it directly. Here are some examples:
- Hormonal Imbalances: For hormonal imbalances, treatments such as medication to regulate hormones might be prescribed. The treatment will be based on the specific imbalance identified through blood tests and other evaluations.
- Ovarian Cysts or Uterine Fibroids: These can often be treated with medication to reduce their size or surgical intervention. The approach will depend on the size and severity of the condition and the patient’s individual circumstances.
- Tumors: If a tumor is identified as the cause, then treatment will depend on the type, location, and severity of the tumor. This may involve surgery, chemotherapy, or radiation therapy.
Psychological Support
Because psychological factors can play a significant role, psychological support is often essential. This might include:
- Counseling or therapy: A therapist can help you deal with the emotional aspects of the condition. They can help work through feelings of disappointment, anxiety, or other emotions.
- Support groups: Joining a support group can provide you with a safe space to share experiences and connect with others who may be going through similar things.
Lifestyle Adjustments
Making healthy lifestyle choices can play a positive role in managing both the symptoms and overall well-being. This might involve:
- Healthy diet: A balanced diet can help improve overall health and stabilize hormone levels.
- Regular exercise: Exercise can reduce stress and improve your physical and mental well-being.
- Stress management techniques: Practicing techniques like meditation, yoga, or deep breathing can help reduce stress levels.
The Importance of Medical Follow-up
After diagnosis and treatment, regular medical follow-up is important to monitor your health and ensure the effectiveness of the treatment plan. This may involve regular check-ups, blood tests, and other evaluations, as suggested by your healthcare provider. Having open communication with your healthcare team and following their advice is the key to achieving the best possible outcome.
Conclusion: Navigating the Complexities of Pseudo Primigravida
So there you have it, a comprehensive look into the world of pseudo primigravida. We hope this guide helps you better understand the term, the causes, the symptoms, and the steps to take if you think you might be experiencing it. Always remember, knowledge is power! The more you understand about your body and your health, the better equipped you’ll be to make informed decisions and seek the support you need.
If you have any questions or are concerned about your health, please reach out to a healthcare professional. They are your best resource for accurate information, personalized advice, and support. Stay informed, stay healthy, and take care of yourselves! Thanks for reading. Until next time, take care, and stay curious!